肺癌是我国发病率和死亡率最高的恶性肿瘤。放疗作为恶性肿瘤最重要的三大治疗手段(手术、放疗、药物治疗)之一,在肺癌中应用场景非常广泛。比如不适合手术的早期肺癌,立体定向放疗可取得媲美外科手术的治疗效果。局部晚期肺癌,放疗与药物治疗协同作战,可以大幅提升患者的生存率。部分病人即使手术完整切除,因为存在高危因素,同样需要接受术后放射治疗,以延缓肿瘤的复发。
随着科技进步,放射治疗已经摒弃了落后的二维技术,步入了以精确定位、精确计划、精确治疗为核心的精准时代。精准放疗的出现,为肺癌患者带来了新的希望。但是,要实现真正的精准,不仅需要医生的专业技术,也离不开患者的积极配合。所以本文将详细介绍患者应该如何做,才能更好地配合好肺癌精准放疗。
首先,患者要了解肺癌放疗的大致过程,这样才能做到心中有数。肺癌精准放疗的实施主要包括以下四个步骤:放疗定位、靶区勾画、物理制定放疗计划以及放疗执行。每个步骤都需要医生的专业操作,同时也需要患者的密切配合。
放疗定位
放疗定位是精准放疗的第一步,也是至关重要的一步。放疗定位对患者来说其实和平常检查做CT几乎相同,唯一不同就是需要增加一个体位固定装置,所以不用紧张、保持放松。对医生来说,该环节的主要工作是结合患者肿瘤位置,帮助患者选择最合适的体位(比如仰卧位还是俯卧位)以及体位固定装置(比如真空垫或者热塑体模),进而进行大孔径CT、MR或者PET扫描,获取肿瘤及瘤周正常组织的空间坐标。只有获取了“敌我”双方的精准坐标,才能下达指令让射线精准递送到肿瘤组织,同时注意避免误伤友军。体位和固定装置选择的最终目的是保障患者舒适性以及良好重复性。保证舒适性、重复性的目的很简单,因为根据定位CT确定好患者肿瘤坐标后,后续放疗计划便针对该坐标进行“毁灭打击”,如果患者因为舒适性和重复性欠佳导致身体发生移动,那肿瘤组织就可能躲避开放射线的精准打击,同时也让正常组织被误伤。对患者来说,该环节需要注意的是选择好最舒适的体位,放疗过程中(短则几分钟,长则20多分钟)需要始终保持这个体位不动,所以不能选择强撑的体位,后续放疗一旦该体位坚持不住发生移动,会直接影响放疗的精准照射。
肺部与其他部位肿瘤存在的最重要的不同在于,肺部是一个不断运动的器官,随着我们的呼吸,肺部会不断地膨胀和收缩。这就意味着,肺部的肿瘤也会随之移动。如果不能准确地"看见"肿瘤的位置,很容易造成放疗时"打偏",既达不到治疗效果,还可能伤及周围的正常组织。所以肺部肿瘤放疗定位时,经常需要进行4D-CT扫描,它不仅能提供静态的图像,还能捕捉肿瘤随呼吸运动的轨迹。通过4D-CT,医生可以了解肿瘤在不同呼吸阶段的位置变化,从而根据患者独特的肺肿瘤呼吸运动情况,有针对性地制定个体化的放疗计划。如图1所示:不同颜色的曲线代表呼吸周期中不同时相下肺部肿瘤位置,从该图可以看出,呼吸运动过程中肺部肿瘤有较大的位置变化。制定放疗计划时不同呼吸时相肿瘤运动的范围要全部包括在放疗的照射范围内,这样就可以保证不管是吸气末还是呼吸末,肿瘤始终逃不出放射线的五指山。这个过程同样需要患者的配合,并且配合的程度直接决定了肿瘤放疗的效果以及正常肺损伤的损伤情况。试想一下,如果4D-CT扫描过程中,患者始终保持深呼吸,那肿瘤的移动范围必然增加,进一步的放疗的照射范围随之增加,这样正常组织出现损伤的概率必然增加。最严重的情况,定位时患者小幅度呼吸,放疗时因为紧张等变成了大口呼吸,那肿瘤将脱离我们设定好的照射范围,这样放疗后肿瘤很快就会进展。那最理想的状态是,放疗定位时稍微早到一会,熟悉环境和流程,不要紧张,定位开始后要小幅度的浅呼吸,这样肺肿瘤的运动幅度就相应减少。最重要的,放疗时要保持和定位时一致的浅呼吸,切记不可转为深呼吸,以免肿瘤逃出我们根据浅呼吸状态下制定的放疗照射范围。

图1:不同呼吸时相下肿瘤位置变化。
此外位于左肺下叶的病灶,胃内容物的含量也会干扰肿瘤位置,比如进食大量食物后,明显增大的胃有可能会向上挤压左下肺,从而导致肿瘤位置变化。所以对于左下肺,尤其是对放疗精度要求极高的早期肺癌立体定向放疗时,患者要严格按照医生的要求,定位时要求空腹,必须做好空腹,并且每次放疗时也保持一致的空腹状态。
靶区勾画与放疗物理计划制定
靶区勾画是指医生在影像上精确地划定需要照射的肿瘤区域,同时标记需要保护的重要器官,如心脏、脊髓等。同时还要考虑呼吸运动、摆位误差等对靶区位置的影响。这个步骤直接关系到放疗的精准度。放疗物理计划制定是指根据医生靶区勾画结果, 选择合适的放疗技术,如三维适形放疗、调强放疗等,优化射线角度和强度,使靶区剂量达标的同时,尽量减少正常组织的受照剂量。通俗来讲将就是医生制定好放疗战斗的奋斗目标:杀灭肿瘤,同时自身损伤在可承受的范围内。物理师根据医生制定的战斗目标,合理的多兵种协作、排兵布阵。
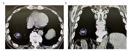
靶区勾画与放疗物理计划制定是精准放疗最为核心的步骤,该环节不需要患者的参与,但是需要患者的理解和配合。第一:放疗靶区勾画和物理计划制作非常复杂,需要反复优化,以达到最佳效果。放疗计划完成后,后续放疗没有特殊将完全按照该计划执行。所以该步骤需要一定的时间,需要病人耐心等待。第二:如图2所示,在照射肿瘤的同时(蓝线包绕区域),我们正常的肺组织、心脏、食管正常器官不可避免会受到一定的低剂量照射。这一点需要患者理解,最重要的是在治疗过程中,密切关注有无这些正常器官放射损伤相关症状。若有不适可以及时告知主管医生进行早期干预。

图2:肺癌放疗计划剂量分布图
放疗计划执行
放疗执行对患者而言,和定位相似。在体位固定装置的辅助下,固定于治疗床上。放疗技术员,按照医生制定的作战目标、物理师制定的作战方案,逐步实施。这个过程需要患者配合的是:尽可能的复现定位时的位置(因为放疗计划是按定位时的位置制定)。这包括但不限于:第一:保持和定位时一样的呼吸节奏,放疗过程中避免咳嗽,必要时服用镇咳药。第二:保持放疗过程中体重不变。第三:保持体表线清晰。患者们放心,放疗执行过程中,技术员老师也会定期通过直线加速器自带的影像设备监测患者体位、肿瘤与放疗定位时的差异,如果差异过大,会及时进行调整。另外,放疗期间患者每周要到主管医生处随访,以便及早发现治疗相关毒副反应和其他异常。
通过这个过程,可以看到,放疗是一个需要精密计划、精准执行的治疗过程,单靠医务人员是不够的,需要患者积极参与其中,大家齐心协力,全民皆兵,才能取得战斗的胜利。(复旦大学附属中山医院肿瘤放疗科张阳,嵇卫星,杜世锁)




