6月18日,上海儿童医学中心张江院区神经外科马杰教授团队完成了一例儿童松果体肿瘤切除手术,术中应用新技术细胞级荧光导引成像系统EndoSCell®(安刀),辅助肿瘤手术达到阴性切缘,实现了该技术首次在儿童专科医院的应用。
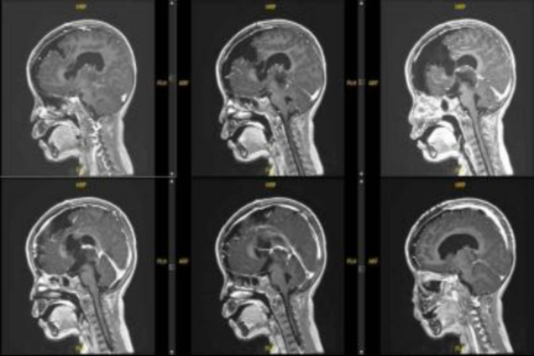
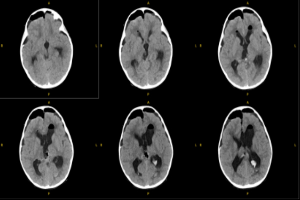
据悉,该患者4岁6个月,其症状为双上肢震颤、右侧踝阵挛。院外头颅MRI平扫示松果体区占位性病变并梗阻性积水、间质性脑水肿。在上海儿童医学中心张江院区神经外科进一步行头颅MRI平扫+增强检查,于松果体区见团块样占位,大小约29.4*26.7*26.5mm,T1WI低信号,T2WI稍高信号,有明显不均匀强化。影像学诊断为右侧丘脑至松果体区占位,考虑恶性肿瘤。
松果体区位于大脑的中心位置,靠近第三脑室后部和中脑导水管。松果体区肿瘤的生长会直接造成压迫或阻塞,影响脑脊液的正常流动,从而导致梗阻性脑积水、颅内压升高等引起的一系列症状。手术切除是治疗的有效手段,但松果体区肿瘤位置较深,且周围有关键的神经结构和血管,切除操作困难。同时,该患儿松果体区肿瘤质地硬韧,在切除时对肿瘤的边界判别成为一个重要考量因素。考虑到肿瘤切除的同时要保功能,治疗专家团队考虑应用手术显微镜、神经导航系统以及细胞级荧光导引成像系统EndoSCell®(安刀)多技术联合辅助进行该手术。
手术团队首先在手术显微镜下,根据术中神经导航系统的计划及引导进行大体肿瘤切除,并在导航系统及显微镜目视下确认达到肿瘤阴性切缘。对切除的新鲜离体组织,在手术床旁进行快速细胞级荧光导引技术-EndoSCell®检测:对切除的瘤区进行取样,通过EndoSCell®扫查对肿瘤的细胞组织形态进行评估。同时,对切缘区域进行扫查,以评估切缘是否从细胞层面达到阴性的水平,EndoSCell®探查确认达到阴性切缘后,手术结束。

专家在手术中应用细胞级荧光导引技术EndoSCell®
术后病理考虑为颅内间叶源性肿瘤,非脑膜上皮来源。FISH提示EWSR1不典型断裂阳性。术后MRI显示肿瘤完全切除。目前患儿情况稳定,由ICU转入普通病房。

患儿术后MR影像:松果体区肿瘤组织切除完全
马杰教授在术后表示:“这是我们医院首次在术中应用细胞级荧光导引技术,该技术让外科医生在术中肉眼就能实时看到组织的细胞图像,有利于在肿瘤边界识别的精度提高到细胞水平,让手术更精准。此次手术的成功不仅为患儿带来了新的希望,也标志着我们上海儿童医学中心神经外科在脑肿瘤精准治疗领域实现了细胞级精准的突破。”
关于儿童的神经系统肿瘤
据国家儿童肿瘤监测中心的最新研究数据,2020年—2024年期间,中枢神经系统肿瘤是儿童癌症常见类型之一,其发病率仅次于白血病。手术切除是治疗脑肿瘤的有效手段,研究表明,手术切除范围(EOR)是患者预后的重要指标,最大范围安全切除并保留功能,术后改善患者预后。细胞级荧光导引技术的应用,有助于从细胞层面实现最大范围安全切除肿瘤。
细胞级荧光导引技术EndoSCell®的出现,首次让外科医生在术中实现高清、实时看到动态、无伪影的肿瘤细胞图像,可帮助术者术中实时指导手术策略,实现细胞级的精准切除。弥补了术中核磁、术中超声、术中荧光、术中冰冻等传统术中边界判读技术在可视化不足、精度不够、耗时长等方面的不足,成功将肿瘤边界判定从毫米影像时代推进到微米细胞纪元。




