腹膜后肿瘤主要分为原发性和继发性两类,其中临床上所说的腹膜后肿瘤通常特指原发性腹膜后肿瘤,其多属软组织肿瘤,在恶性肿瘤中占比不足 1%。而在腹膜后肿瘤里,恶性肿瘤占 80%,最常见的是间叶组织来源的肉瘤(占 42%),其中又以脂肪肉瘤最为多见,平滑肌肉瘤次之。
腹膜后肿瘤位于腹膜后,与泌尿外科里的肾上腺、肾、输尿管等器官在同一区域,因此与之最密切的组织器官有:肾脏、肾周脂肪、输尿管、肾上腺等。位置偏头侧会与肾上腺、肝脏、脾脏紧邻,位置偏腹侧会与下腔静脉和腹主动脉紧邻。由于早期的腹膜后肿瘤体积较小,微创手术可以将肿瘤完整切除,但需要注意腹膜后肿瘤复发率高,完整切除肿瘤是目前最好的治疗方式。体积较大的肿瘤,如30cm以上的腹膜后脂肪肉瘤,涉及的器官较多,有些会侵犯结肠、下腔静脉、胰腺、肝脏等周围器官。手术难度较大,需要切除部分脏器才能实现肿瘤完整切除。
近期国家癌症中心/中国医学科学院廊坊院区泌尿外科王明帅副主任医师团队完成多例30cm以上巨大腹膜后脂肪肉瘤切除病例,效果显著,患者术后恢复顺利。
病例1: 35cm 巨大脂肪肉瘤,2 小时精准切除
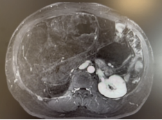
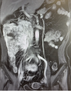
56岁男性患者,因间断上腹不适4个月,检查发现腹膜后肿瘤2周。腹部CT及核磁提示腹膜后巨大脂肪肉瘤,直径约35cm。


我们为患者实施全麻下开放腹膜后肿瘤切除术。术中可见肿瘤挤压十二指肠、胰头、肠系膜血管、下腔静脉和腹主动脉,但未侵犯结肠、肠系膜血管等组织器官,且包膜完整。手术团队仔细游离,完整切除腹膜后肿瘤,剔除腹膜后脂肪。历时2个小时完成,术中出血约100ml。
术后恢复顺利:第3天排气并进食流食;第5天恢复正常饮食;术后第9天出院。术后病理高分化脂肪肉瘤,肿瘤最大径38cm,与肾周脂肪粘连。术后3月随访,未见肿瘤复发。

病例2:30cm腹膜后肉瘤,高龄患者顺利康复
72岁男性,因体重下降2月,确诊腹膜后肉瘤10天。腹部增强CT提示左侧腹膜后巨大脂肪肉瘤,直径约30cm。
我们实施了全麻下开放腹膜后肿瘤切除术。术中发现肿瘤与结肠系膜及降结肠粘连,团队切除降结肠、部分膈肌、腹壁肌肉,横结肠和乙状结肠吻合。手术历时3个小时,出血控制在500ml以内。术后恢复良好:第2天下地活动,术后3天排气,术后1周流食,术后10天出院。
病例3:复发肿瘤至肠梗阻,多脏器联合切除解危
63岁男性,腹膜后脂肪肉瘤术后2年,肿瘤复发3个月。因复发肿瘤导致肠梗阻已无法进食。


我们为患者实施了全麻下开放腹腔肿物切除+回肠部分切除+右侧腹膜后肿物切除+右肾切除+右半结肠切除手术,手术历时2小时,出血200ml以内。术后第1天下地,术后4天排气,术后1周流食,术后10天出院。
国家癌症中心/中国医学科学院肿瘤医院廊坊院区在泌尿外科张勇主任的带领下,已成立腹膜后肿瘤专业组,由王明帅副主任医师担任组长。王明帅副主任医师团队完成数百例复杂泌尿肿瘤手术,在泌尿肿瘤微创及开放腹膜后肿瘤手术方面有丰富经验。同时,医院还联合肝胆外科、结直肠外科、放疗科、肿瘤内科及临床药物试验部门,为腹膜后肿瘤患者提供更全面优质的医疗服务。
目前,廊坊院区腹膜后肿瘤专科门诊已开诊,在每周三下午在7诊室接诊,患者可通过医科院肿瘤医院app预约,也可现场加号咨询。





