很多人拿到 “腹膜后脂肪肉瘤” 的诊断报告,第一反应都是一头雾水:这到底是什么病?为什么发现时肿瘤就长这么大了?手术前还要做放疗,是不是多此一举?今天我们就用大白话,把这个病和关键的新辅助放疗讲清楚,帮大家避开治疗误区、少走弯路。
先搞懂两个最核心的问题,看病不迷糊。
第一个问题:腹膜后脂肪肉瘤到底是什么?
咱们的肚子里,肠道前面是大家熟悉的腹腔,而肠道背后、贴着脊柱和后背的这个 “隐蔽死角”,就是腹膜后间隙。这里密密麻麻分布着脂肪、大血管、神经和肾脏等重要器官,腹膜后脂肪肉瘤就是从这里的脂肪组织长出来的恶性肿瘤。
很多人会问:肉瘤是癌症吗?简单说,我们常说的肺癌、肠癌这类癌症,大多起源于黏膜、皮肤等上皮组织;而脂肪肉瘤是起源于脂肪组织的恶性肿瘤,虽然名字不同,但同样需要警惕。它最棘手的特点是:藏得深、早期几乎没任何不舒服,等出现腹胀、腹痛、吃不下饭时,肿瘤往往已经长得很大,甚至把周围的血管、肾脏、肠子都 “缠” 住了,手术难度极高,而且中高危的类型,做完手术还很容易复发。
第二个问题:新辅助放疗,到底是啥?
很多人以为放疗都是手术后做的 “收尾治疗”,但新辅助放疗,恰恰是根治性手术之前做的精准放疗。给大家打个比方:我们要拔一颗扎得很深、还缠上了周围石头的老树根,直接硬拔,不仅很难拔干净,还容易把周围的石头带崩、伤到手;如果先用药让树根萎缩、和石头分离开,再拔就会轻松很多,也不容易留残根。新辅助放疗,就是手术前这个 “提前处理、精准拆弹” 的过程,核心目的是给手术铺路,让手术做得更顺利、更彻底。
很多患者会问:直接手术不行吗?新辅助放疗的好处,到底在哪?
第一,能让肿瘤一定程度“缩水”,大幅降低手术风险和难度。腹膜后这个地方空间特别狭小,肿瘤长大之后,很容易包裹、侵犯肾脏、大血管、肠子这些关键器官。尤其是复发病例,直接开刀,不仅很难把肿瘤完整切干净,还可能引发大出血、损伤重要器官,甚至让原本能手术的患者失去根治的机会。而新辅助放疗能让肿瘤体积一定程度缩小,原本切不掉的肿瘤,现在有了完整切除的可能。
第二,能提前清除 “隐形病灶”,大大降低术后复发的风险。腹膜后脂肪肉瘤最让人头疼的就是术后复发,很多时候复发不是手术没切好,而是肿瘤周围藏着很多肉眼都看不见的微小癌细胞 “根须”,手术很难彻底清干净。新辅助放疗能在手术前,就把这些看不见的隐匿病灶提前杀灭,把肿瘤细胞的活性压下去,从根源上减少术后残留、复发的可能。
这里必须跟大家说清楚一个关键:新辅助放疗是帮手术 “打辅助”,绝对不能替代手术。放疗结束后,依然需要通过规范的大范围完整切除手术,才能实现肿瘤的根治,二者相辅相成,缺一不可。
还要明确的是,新辅助放疗不是人人都适合的 “标配治疗”。它需要外科、放疗科等多学科专家(MDT 团队),根据肿瘤的类型、恶性程度、大小、侵犯范围,还有患者的身体情况综合评估后决定。如果是肿瘤体积小、边界清楚、恶性程度低的低危患者,直接做手术就可以;而中高危、肿瘤巨大、已经侵犯周围器官 / 大血管、术后复发的患者,才最能从新辅助放疗中获益。
接下来跟大家分享我们团队合作完成的 2 个典型病例,大家能更直观地看到治疗效果:
病例 1:63 岁男性患者,2 年前在当地医院做过右侧腹膜后脂肪肉瘤切除手术,之后肿瘤复发。复查发现,腹腔里有两处大肿瘤,一处 15cm,已经侵犯了右肾、右半结肠;另一处 10cm,侵犯了小肠,患者已经吃不下饭,再次手术的复发风险极高。经过多学科团队(MDT)综合评估后,先由放疗科卢宁宁主任团队完成新辅助放疗,再由泌尿外科王明帅主任团队,把肿瘤和被侵犯的小肠、右肾、右半结肠等组织整块完整切除,最大程度避免癌细胞残留。整个手术只用了 2 个小时,出血量不到 200ml,患者术后恢复非常顺利,半年后复查,没有发现肿瘤复发。

术前腹部核磁片子

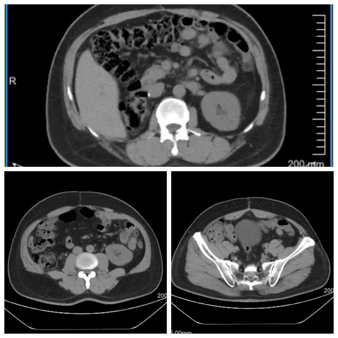
术后半年复查腹部CT未见复发
病例2:60岁女性患者,因为肚子不舒服检查,发现右侧腹膜后长了一个 25*20cm 的巨大肿瘤,已经和肝脏、膈肌、人体最粗的大血管(下腔静脉)、十二指肠粘在了一起,还出现了贫血。为了降低手术难度、减少术后复发,先穿刺确诊为脂肪肉瘤后,和放疗科卢主任团队合作,先做新辅助放疗,放疗结束1个月后,由王明帅主任团队完成肿瘤切除手术。手术中精准保护好十二指肠,把被肿瘤侵犯的部分下腔静脉壁、肝脏、膈肌一并完整切除,手术顺利完成,用时 2 个小时,出血量不到 300ml。术后半年复查,没有发现肿瘤复发。

术前腹部核磁影响和放疗区域
总而言之,腹膜后脂肪肉瘤虽然治疗难度大,但新辅助放疗的规范应用,为很多患者打开了根治的大门。它绝不是多余的治疗步骤,而是手术前的精准赋能,既能帮医生更安全、更彻底地切除肿瘤,也能帮患者降低复发风险、获得更好的生活质量。面对疾病,不用过度恐慌,科学规范的全周期诊疗,永远是战胜病魔最坚实的底气。
撰写人:国家癌症中心/中国医学科学院肿瘤医院泌尿外科副主任医师 王明帅
国家癌症中心/中国医学科学院肿瘤医院放疗科副主任医师 卢宁宁




